- 教师节送什么鲜花(教师节送什么鲜花给老师好)
-
1、康乃馨。花语:代表了爱、尊敬;2、向日葵。花语:拥有一颗如太阳一般明朗快乐的心;3、郁金香。花语:博爱、体贴、高雅;4、文竹。寓意老师文气十足;5、剑兰。花语:长寿福禄和怀念之意。教师节可以送老师...
- 大溪地黑珍珠(大溪地黑珍珠是什么意思)
-
1、看大小:一般情况下海水珍珠或者淡水珍珠的大小不超过9MM,而大溪地黑珍珠一般大小在8-15mm以上,如果珍珠的大小是小于8MM的圆形黑珍珠,则多半是被染色了的珍珠。2、看价格:大溪地黑珍珠非常的稀...
- angelababy戒指(angelababy戒指多少钱)
-
杨颖(Angelababy)戴的独眼戒指是她的个人装饰品,可能没有特定的意义或象征。独眼戒指是一种独特的设计,可以给整体装扮增添时尚感和个性风格。正如其他的饰品一样,戒指的含义可以因个人经历、审美喜好...
- 钻石戒指款式(钻石戒指款式花呗可以消费吗)
-
最浪漫的定情信物,结婚信物,爱情信物是什么,那自然就是戒指了,戒指的话,最好是挑选钻戒,因为钻戒是对爱情恒久远的一份见证,爱一个人,尤其是女人,就应该送给她一枚钻戒,以爱之名圈住她,让她时时刻刻都能够...
- 北京菜百金价(北京菜百金价回收)
-
菜百黄金首饰金价调整的时间,一般会在当日上午的8点以前。菜百黄金是北京的著名品牌,在国内的知名度也是非常高的。他会根据当日的国际基础金价,来实时调整店内的黄金价格。一般情况下,当国际金价大幅下跌的时候...
-
- ct是什么意思(CTRL是什么意思网络用语)
-
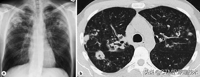
CT在医学影像领域指计算机体层摄影,全称是ComputedTomography,是20世纪最伟大的发明之一。我们都知道放射科的X线光片,拍出来的大多是人体一个骨骼的投影,是一个重叠的影像。我们先来理解下X光片是怎么产生的。...
-
2025-06-06 20:29 tongwa88
- 老凤祥黄金今日金价(老凤祥黄金今日金价走势图)
-
不同地方价格肯定也不一样啊,可以去店里面看看的,看你自己的心意了。今天老凤祥的黄金价格是335元/克,国际纸黄金价格是273.66元/克;一根金条你算算有多少克么,一般都是买卖收取2个点;你若卖给老凤...
- 近日黄金价格(今日黄金价格回收价)
-
1.金店所卖的黄金饰品是在黄金的基础上进行了款式设计和工艺加工的。虽然金店也是根据国际金价浮动来调节黄金价格的,但因为有了成本费用,所以会在国际黄金价的基础上合理的增加一部分的价格。对于不同的金店品牌...
- 买黄金哪个牌子好(哪个品牌黄金纯度高更保值)
-
1、老凤祥珠宝老凤祥珠宝的名声享誉全国,距今已有百年的历史,是我国百年的民族品牌,更是我国首饰业的经典珠宝品牌,其创立于1848年,老凤祥为消费者提供优质的服务,还提供以旧换新服务,给消费者满意的体验...
- 白羊座开运水晶(白羊座招财水晶)
-
白羊座的幸运石:红宝石、黄玉、石榴石、钛晶、白水晶、紫水晶、黑曜石、琥珀白羊座的幸运石符号是红宝石和碧玉,但也可以用水晶岩作为镇静之物来用。碧玉是一种混合石英,玉髓和其它有颜色的矿物质;古时候的人用碧...

